Busque su municipio
Si su municipio no sale, puede solicitar cita igualmente.






Biotecnología de la reproducción






Necropsias






Terapias celulares
¿Por qué elegir veterinario a domicilio?
Optar por un veterinario a domicilio es la mejor alternativa para garantizar una atención profesional sin someter al animal al estrés del transporte ni al entorno de una clínica. La visita se realiza en el hogar, un espacio familiar donde el animal se siente seguro, lo que facilita la exploración clínica y mejora la precisión del diagnóstico.
Este servicio es especialmente recomendable para animales nerviosos, agresivos, geriátricos o con movilidad reducida. Además, permite al veterinario observar al animal en su entorno real, valorando factores como la convivencia, la higiene o los hábitos diarios. Para el propietario supone comodidad, ahorro de tiempo y una atención mucho más cercana y personalizada, siempre priorizando el bienestar animal.

Consultas veterinarias
Las consultas veterinarias a domicilio permiten realizar revisiones generales, diagnósticos, seguimiento de enfermedades y planes de medicina preventiva sin desplazamientos. El veterinario realiza una exploración completa en un ambiente tranquilo, reduciendo el estrés del animal y mejorando la colaboración durante la consulta.
Este tipo de atención es ideal para el control de patologías crónicas, animales mayores o situaciones que requieren observación continuada. Además, el propietario recibe explicaciones claras y adaptadas al entorno real del animal, lo que mejora la comprensión del tratamiento y su correcta aplicación en casa.
Identificación animal
La identificación animal a domicilio mediante microchip es un servicio cómodo y seguro que cumple con la normativa vigente. Al realizarse en casa, se reduce el estrés del animal y se facilita el manejo, especialmente en animales jóvenes, nerviosos o con dificultades de transporte.
El servicio incluye la comprobación previa de microchip, su implantación correcta y el asesoramiento sobre el registro y la tenencia responsable. La identificación es clave para la recuperación del animal en caso de pérdida y para cumplir con los requisitos legales.
Tratamientos veterinarios (vacunaciones, sueros, etc.)
Los tratamientos veterinarios a domicilio, como vacunaciones, sueroterapia y administración de medicación, permiten cuidar la salud del animal sin sacarlo de su entorno. Antes de cualquier tratamiento, el veterinario evalúa su estado general para garantizar la seguridad y eficacia del procedimiento.
Este servicio es especialmente útil en animales sensibles al estrés o que requieren tratamientos periódicos. La atención en casa favorece la recuperación, mejora la adherencia al tratamiento y aporta tranquilidad tanto al animal como a su responsable.

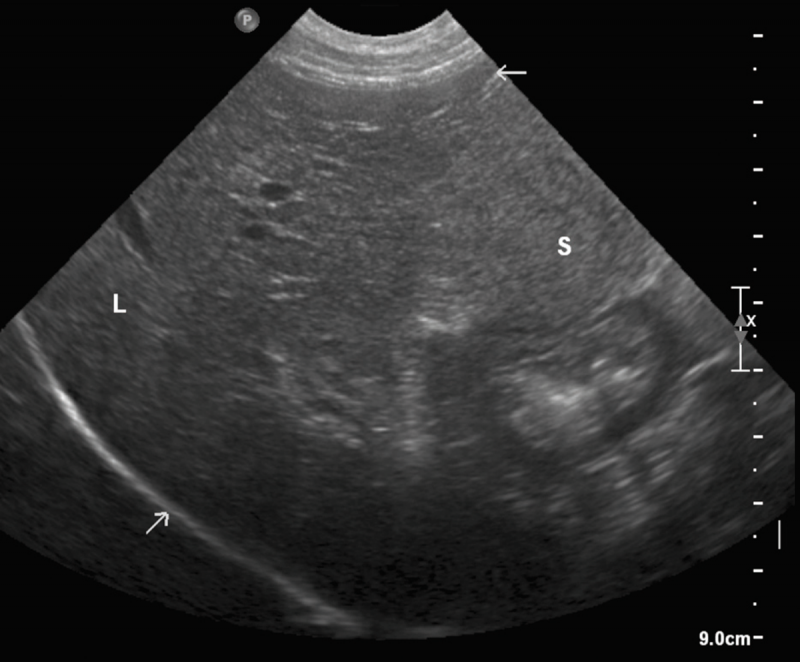
Ecografía veterinaria para animales
La ecografía veterinaria a domicilio es una técnica diagnóstica no invasiva que permite evaluar órganos internos de forma rápida y precisa. Gracias a equipos portátiles, se pueden realizar estudios abdominales, reproductivos o urinarios sin necesidad de desplazamientos.
Al realizarse en un entorno tranquilo, se reduce la necesidad de sedación y se mejora la calidad de la exploración. Además, el veterinario puede explicar los resultados al momento, facilitando la toma de decisiones clínicas.

Análisis clínicos para animales
Los análisis clínicos a domicilio incluyen la toma de muestras de sangre, orina u otros fluidos necesarios para el diagnóstico y seguimiento de enfermedades. La extracción en casa reduce el estrés y permite una manipulación más segura del animal.
Este servicio es ideal para controles rutinarios, seguimiento de tratamientos y diagnóstico precoz, contribuyendo a una atención veterinaria completa y personalizada.

Cirugías de piel
Las cirugías de piel a domicilio abarcan procedimientos menores como la extirpación de masas cutáneas, abscesos o suturas simples. Cada caso se valora previamente para garantizar que la intervención puede realizarse con seguridad en el domicilio.
El entorno familiar reduce el estrés preoperatorio y favorece una recuperación más tranquila. Tras la intervención, el veterinario proporciona pautas claras para el cuidado postoperatorio y el seguimiento de la cicatrización.

Manejo de animales agresivos en domicilio
El manejo de animales agresivos o con miedo es más eficaz en su propio entorno, donde se reducen estímulos que generan ansiedad. El veterinario aplica técnicas de contención segura y manejo respetuoso, priorizando siempre el bienestar del animal.
Este enfoque permite realizar exploraciones y tratamientos con mayor seguridad, minimizando riesgos tanto para el animal como para las personas implicadas.

Certificados veterinarios
La emisión de certificados veterinarios a domicilio facilita la gestión de trámites legales sin desplazamientos. Estos certificados pueden ser necesarios para viajes, registros oficiales o actividades reguladas.
El veterinario realiza una exploración previa para verificar que el animal cumple con los requisitos exigidos, ofreciendo un servicio cómodo, profesional y fiable.
Asesoramiento burocrático en la creación de Granjas o Núcleos zoológicos
Ofrecemos asesoramiento veterinario y burocrático para la creación y legalización de granjas o núcleos zoológicos. Este servicio ayuda a cumplir con la normativa sanitaria, de bienestar animal y documentación requerida.
El acompañamiento profesional evita errores y agiliza los trámites administrativos.

La eutanasia a domicilio se realiza únicamente en animales gravemente enfermos, siempre previa exploración veterinaria. El objetivo es evitar el sufrimiento innecesario y ofrecer un proceso tranquilo y digno en el entorno familiar.
El procedimiento se lleva a cabo de forma ética, respetuosa y acompañando al propietario en un momento especialmente delicado.

Consultas telefónicas
Las consultas veterinarias telefónicas permiten resolver dudas, realizar seguimientos y valorar la urgencia de un caso sin necesidad de desplazamiento inmediato. Son un complemento ideal a la atención veterinaria a domicilio.

Control de enfermedades infecciosas y parasitarias
El control de enfermedades infecciosas y parasitarias a domicilio es esencial para proteger la salud del animal y de las personas. Se presta especial atención a las zoonosis, enfermedades transmisibles entre animales y humanos.
El veterinario evalúa riesgos, establece planes de prevención y asesora sobre medidas higiénico-sanitarias en el hogar, reduciendo la propagación de enfermedades.
FAQs: Preguntas frecuentes sobre el servicio de veterinario a domicilio

1. ¿Qué tipo de animales pueden atenderse con un veterinario a domicilio?
El servicio de veterinario a domicilio está indicado para animales de compañía como perros y gatos, pero también puede adaptarse a otros animales según el caso y el veterinario, pudiendo atenderse caballos, ovejas, cabras, cerdos, aves, bóvidos y otros animales. Es especialmente útil para animales nerviosos, geriátricos, con movilidad reducida, grandes animales o con dificultades de transporte, así como para hogares con varios animales.
2. ¿Es igual de segura la atención veterinaria en casa que en una clínica?
Sí, siempre que el procedimiento esté indicado para realizarse en domicilio. El veterinario valora previamente cada caso y sólo realiza en casa aquellas actuaciones que pueden llevarse a cabo con seguridad, higiene y garantías clínicas, priorizando siempre el bienestar del animal.
3. ¿Qué ventajas tiene el veterinario a domicilio frente a la clínica?
La principal ventaja es la reducción del estrés del animal al permanecer en su entorno habitual. Además, se evita el desplazamiento, se ahorra tiempo y se recibe una atención más personalizada, con mayor dedicación a la explicación y seguimiento del caso.
4. ¿Se pueden vacunar los animales en casa?
Sí, las vacunaciones a domicilio son totalmente posibles. Antes de vacunar, el veterinario realiza una exploración para comprobar que el animal se encuentra en condiciones adecuadas y adapta el calendario vacunal a sus necesidades específicas.
5. ¿Qué ocurre si durante la visita se detecta algo grave?
Si durante la exploración se detecta una patología que requiere pruebas o tratamientos no realizables en domicilio, el veterinario informará al propietario y orientará sobre los siguientes pasos, incluyendo la derivación a un centro veterinario si es necesario.
6. ¿Es más caro un veterinario a domicilio?
El precio puede variar según el servicio y el desplazamiento, pero en muchos casos compensa por el ahorro de tiempo, la comodidad y la atención personalizada. Además, evita costes indirectos como transporte, esperas o estrés para el animal.
7. ¿Cómo se manejan los animales agresivos o con miedo?
El veterinario emplea técnicas de manejo seguro y respetuoso, adaptadas al comportamiento del animal. El entorno del hogar suele reducir la ansiedad y, cuando es necesario, se valoran medidas adicionales siempre bajo criterio profesional.
8. ¿Se pueden realizar análisis y pruebas diagnósticas en casa?
Sí, es posible realizar toma de muestras para análisis clínicos y pruebas como ecografías en domicilio. Esto facilita el seguimiento de enfermedades y reduce el impacto emocional del proceso diagnóstico.
9. ¿Es legal realizar eutanasia veterinaria a domicilio?
Sí, es legal siempre que la realice un veterinario colegiado. La eutanasia a domicilio se lleva a cabo únicamente en animales gravemente enfermos y siempre tras una exploración veterinaria previa que justifique la decisión.
10. ¿Cómo se solicita una visita veterinaria a domicilio?
Normalmente se puede solicitar mediante llamada telefónica, mensaje o formulario de contacto. El veterinario recogerá la información necesaria para valorar el caso y concertar la visita en el menor tiempo posible.
